歯のお悩み相談詳細
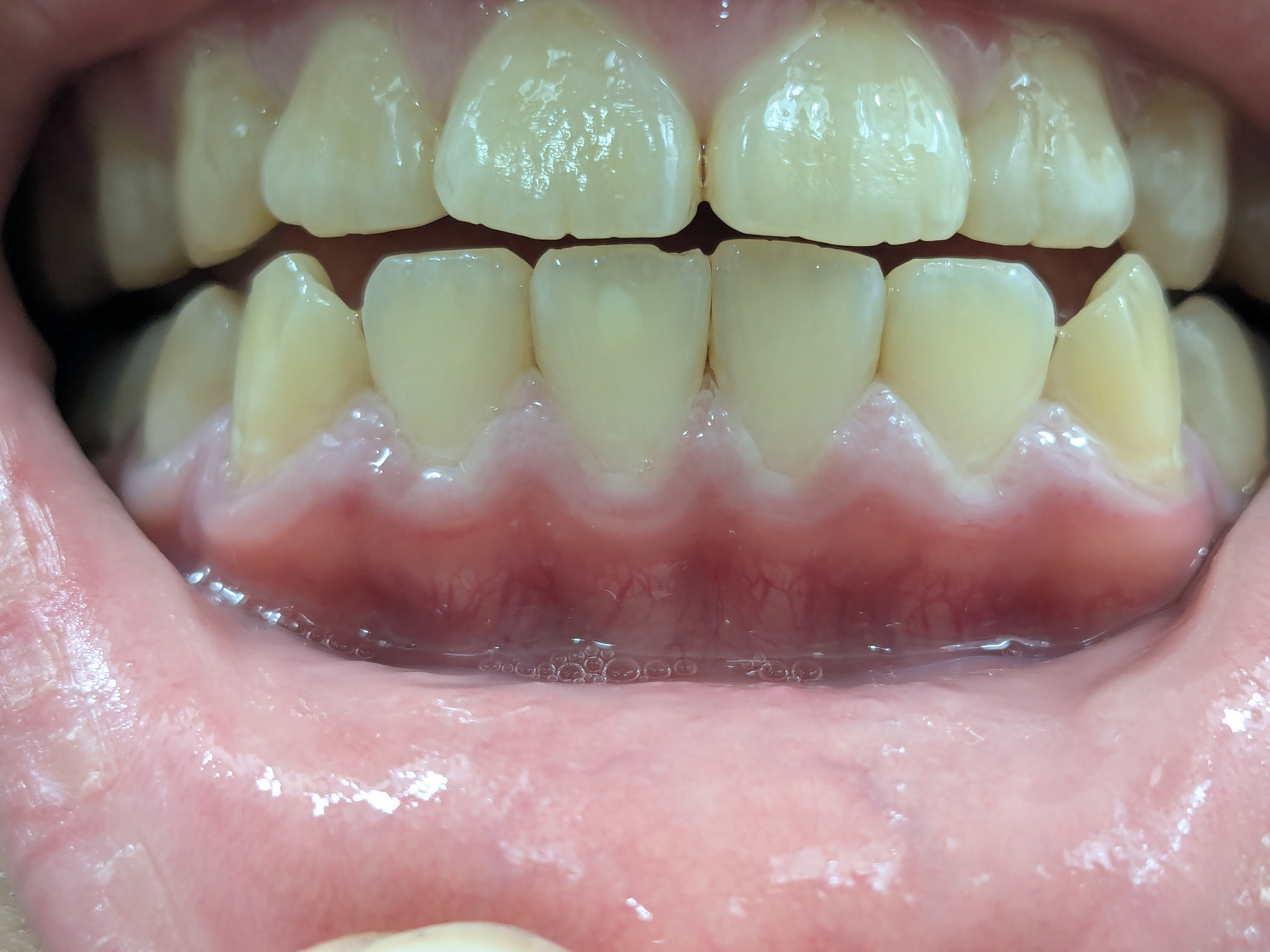
ご相談
渡辺 英弥 先生からの回答
その他に関するお悩み相談
-
歯肉炎を治療していますが、歯茎が白く爛れています。
回答数:1 -
口内炎が10日経っても治らず不安です。
回答数:2 -
歯の根元が割れてしまい、歯茎が腫れます。
回答数:2 -
歯茎が腫れて抗生物質を飲んでいますが、よくなりません。
回答数:2 -
頬が腫れ上がっています。冷やさない方が良いですか?
回答数:2 -
知覚過敏の経過を見ていますが、治りません。
回答数:2 -
ドライソケット治療で再掻爬後の痛みはどのくらいで落ち着きますか?
回答数:2 -
前歯の打撲後、いつ頃まで前歯を使わないように注意すればいいですか?
回答数:2 -
こまめに治療に通っても症状が改善せず不安です。
回答数:1 -
顎放線菌症の治療を続けていますが、病状が長引いています。
回答数:2
