歯のお悩み相談詳細
ご相談
河原 雅朗 先生からの回答
渡辺 英弥 先生からの回答
親知らずに関するお悩み相談
-
抜歯した親知らずを歯髄バンクに預けることはできますか?
回答数:2 -
親知らずが炎症を起こし腫れと痛みがあります。受診した方がいいですか?
回答数:2 -
半年経っても親知らずの腫れが残っています。
回答数:2 -
親知らずの虫歯を治療して銀歯になるのが気になります。
回答数:2 -
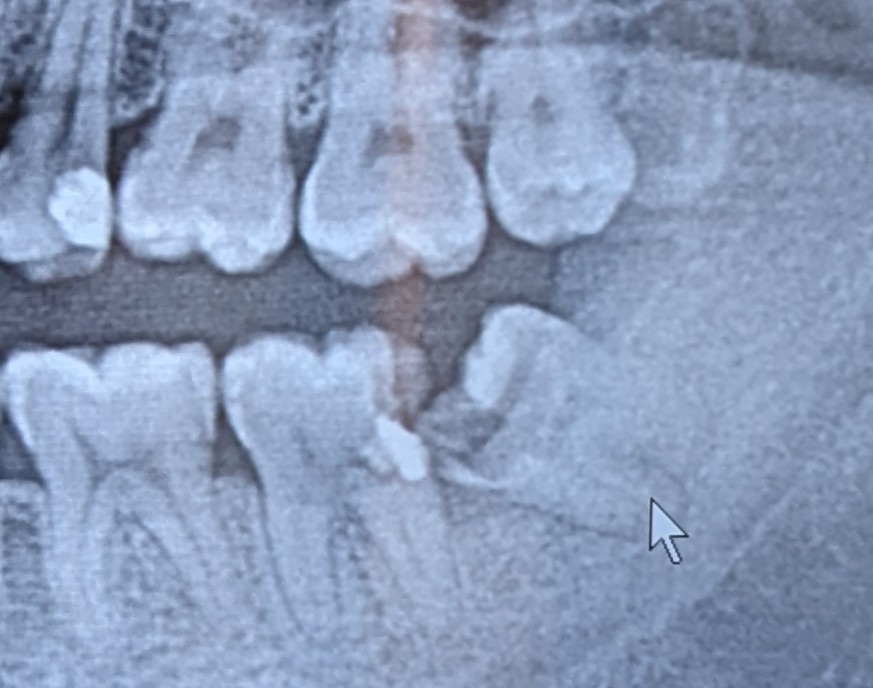
横向きに生えている親知らずの治療はできますか?
回答数:2 -
親知らずが生えてきましたが、腫れていて痛みが続いています。
回答数:2 -
移植する親知らずの神経はいつ抜くのでしょうか?
回答数:2 -
砕けてしまった親知らずの抜歯を待つ間に痛みが出てきました。
回答数:2 -
歯茎に埋まっている親知らず付近の匂いが気になります。
回答数:2 -
親知らずの抜歯後にテルプラグを行う病院はありますか?
回答数:2
