歯のお悩み相談詳細
ご相談
河原 雅朗 先生からの回答
渡辺 英弥 先生からの回答
親知らずに関するお悩み相談
-
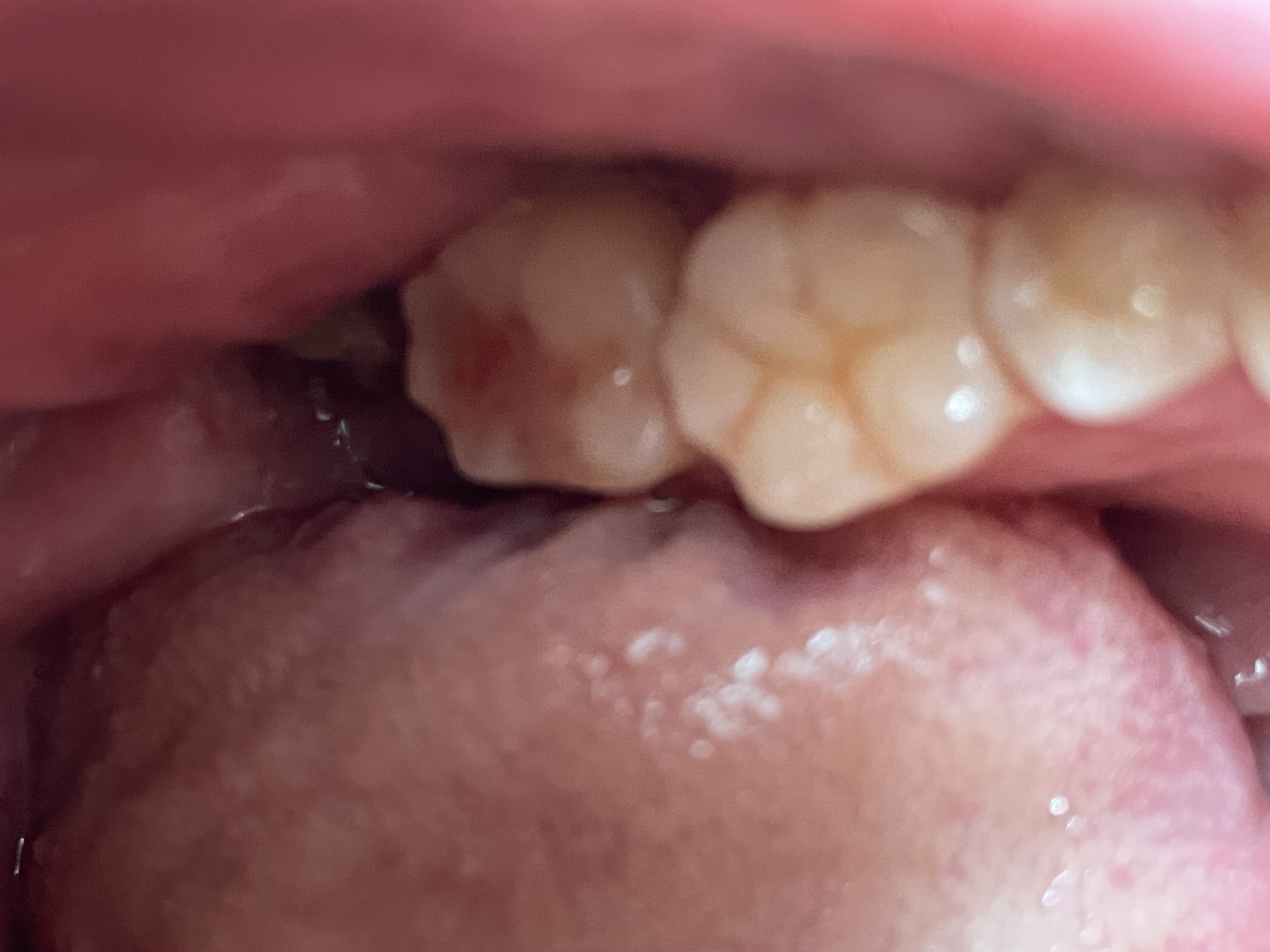
親知らず抜歯後、隣の歯の歯茎が剥がれて浮いています。
回答数:2 -
親知らず抜歯後2日経ってから、ドロッとした血のようなものが出てきました。
回答数:2 -
抜歯後の部分に白いかたまりがあります。放置していても問題ないですか?
回答数:2 -
親知らず抜歯後5日目から痛みが強くなってきました。
回答数:2 -
オトガイ神経麻痺が治りません。どのような病院に行けばいいですか?
回答数:2 -
親知らず抜歯後、大きな血餅が出来ました。取れたらドライソケットになりますか?
回答数:2 -
親知らず抜歯後、再受診が必要ですか?
回答数:2 -
親知らず抜歯後、糸がなくなりました。歯医者に行った方がいいですか?
回答数:2 -
親知らず抜歯後、オトガイ神経麻痺になりました。
回答数:2 -
親知らず抜歯後、2つ隣の歯が痛むようになりました。
回答数:2

