歯のお悩み相談詳細
ご相談
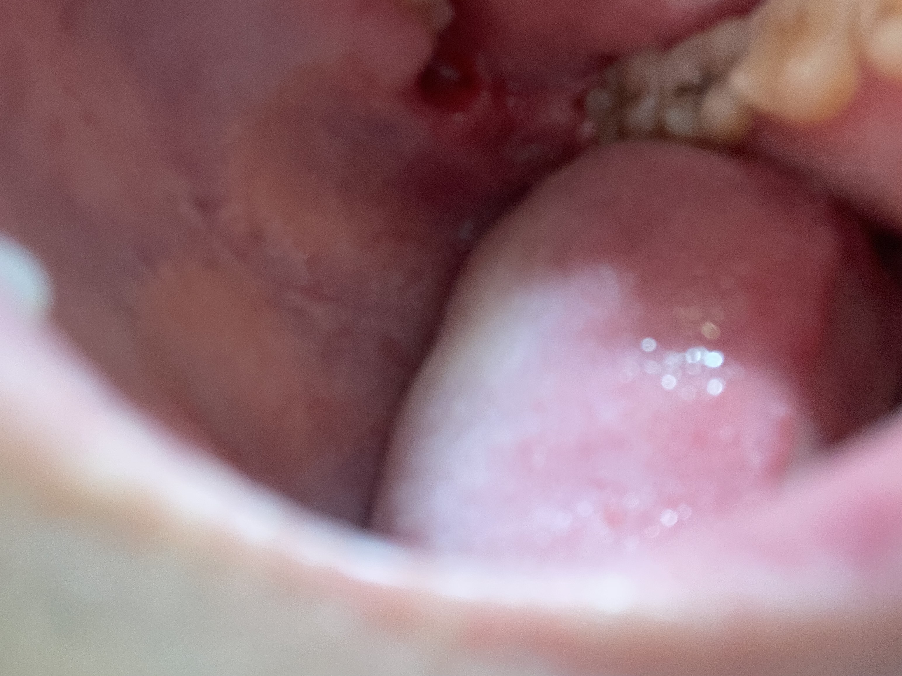
渡辺 英弥 先生からの回答
河原 雅朗 先生からの回答
その他に関するお悩み相談
-
奥歯の外側の歯茎が赤くなり、痛みがあります。
回答数:2 -
マウスやレバーを触ったグローブで歯茎を触られました。感染リスクはありますか?
回答数:2 -
左右の頬に柔らかい膨らみがあります。
回答数:2 -
歯ブラシの毛先を歯と歯の間に貫通させるような磨き方はありますか?
回答数:2 -
顎が痛いです。対処法を教えてください。
回答数:2 -
奥歯の真後ろに歯茎が割けているようなすき間があります。
回答数:2 -
健康な歯でもレントゲンに黒い影が写ることはありますか?
回答数:2 -
無糖ヨーグルトを食べた後、すぐに歯磨きをしても大丈夫ですか?
回答数:2 -
歯茎に胡椒が入ったような感じがして、噛み合わせると痛みがあります。
回答数:2 -
前歯の裏の歯茎が赤く腫れて痛いです。
回答数:2
