歯のお悩み相談詳細
ご相談
河原 雅朗 先生からの回答
渡辺 英弥 先生からの回答
親知らずに関するお悩み相談
-
親知らず抜歯後、オトガイ神経麻痺になりました。
回答数:2 -
親知らず抜歯後、2つ隣の歯が痛むようになりました。
回答数:2 -
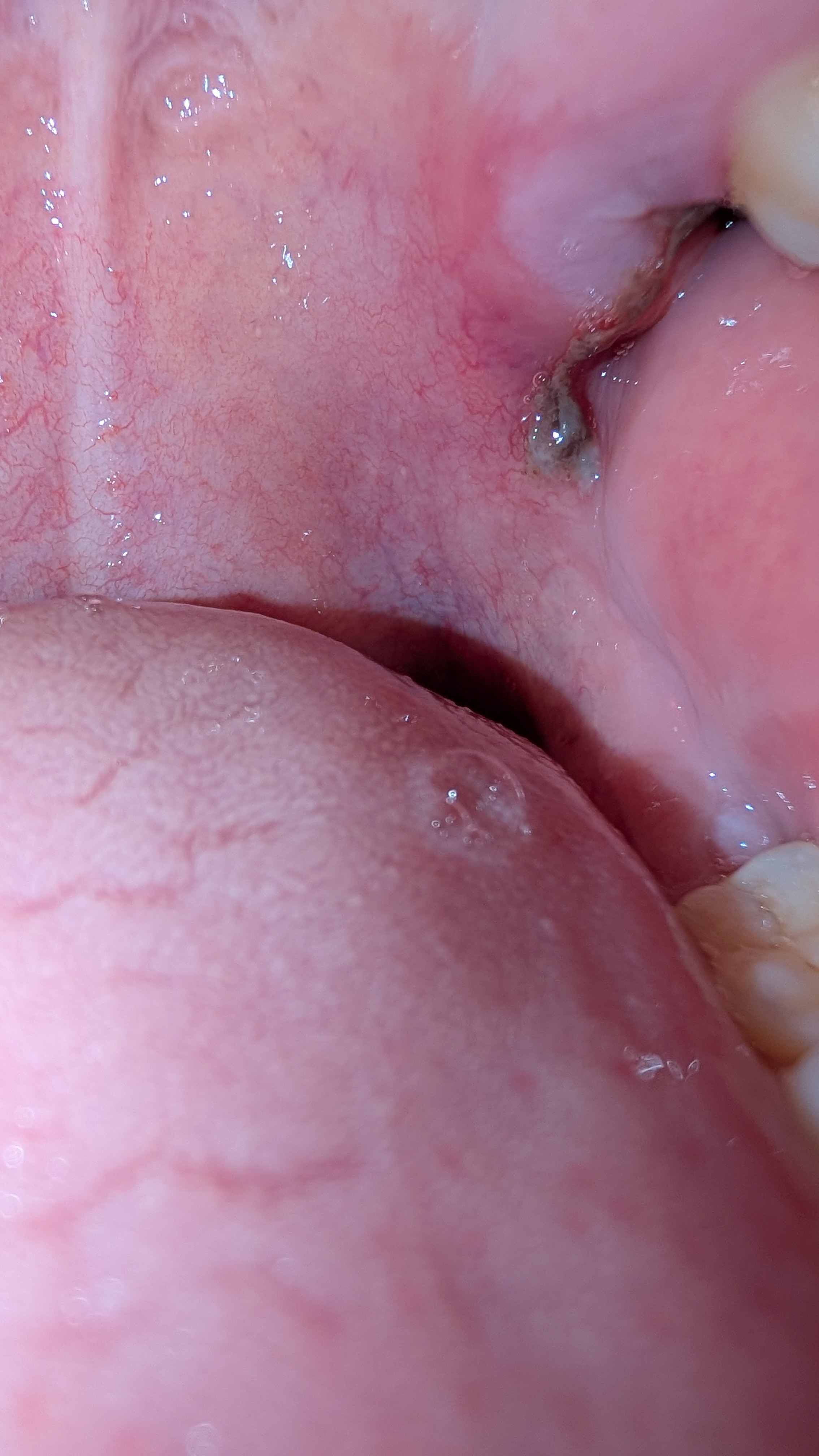
ドライソケットの治療後、歯茎からブニブニしたものが出てきました。
回答数:2 -
親知らず抜歯後、血餅がガーゼについて取れてしまいました。
回答数:2 -
3ヶ月前に親知らずを抜歯したところの内側が腫れ上がりました。
回答数:2 -
下の親知らず2本を抜歯後、5日経っても痛みが激しいです。
回答数:2 -
親知らず抜歯後、歯茎から白くて柔らかい物が出てきました。
回答数:2 -
親知らず抜歯後、白いものが横の歯や抜歯したところにあります。
回答数:2 -
親知らず抜歯後、前歯に痛みがあります。
回答数:2 -
全身麻酔で埋伏智歯を4本抜歯しましたが、痛みがぶり返して膿が出ています。
回答数:2
