歯のお悩み相談詳細
ご相談
河原 雅朗 先生からの回答
渡辺 英弥 先生からの回答
親知らずに関するお悩み相談
-
親知らず抜歯後、痛みが強くなりました。ドライソケットでしょうか?
回答数:2 -
親知らず抜歯後、血餅がなくなり白いところが見えます。
回答数:2 -
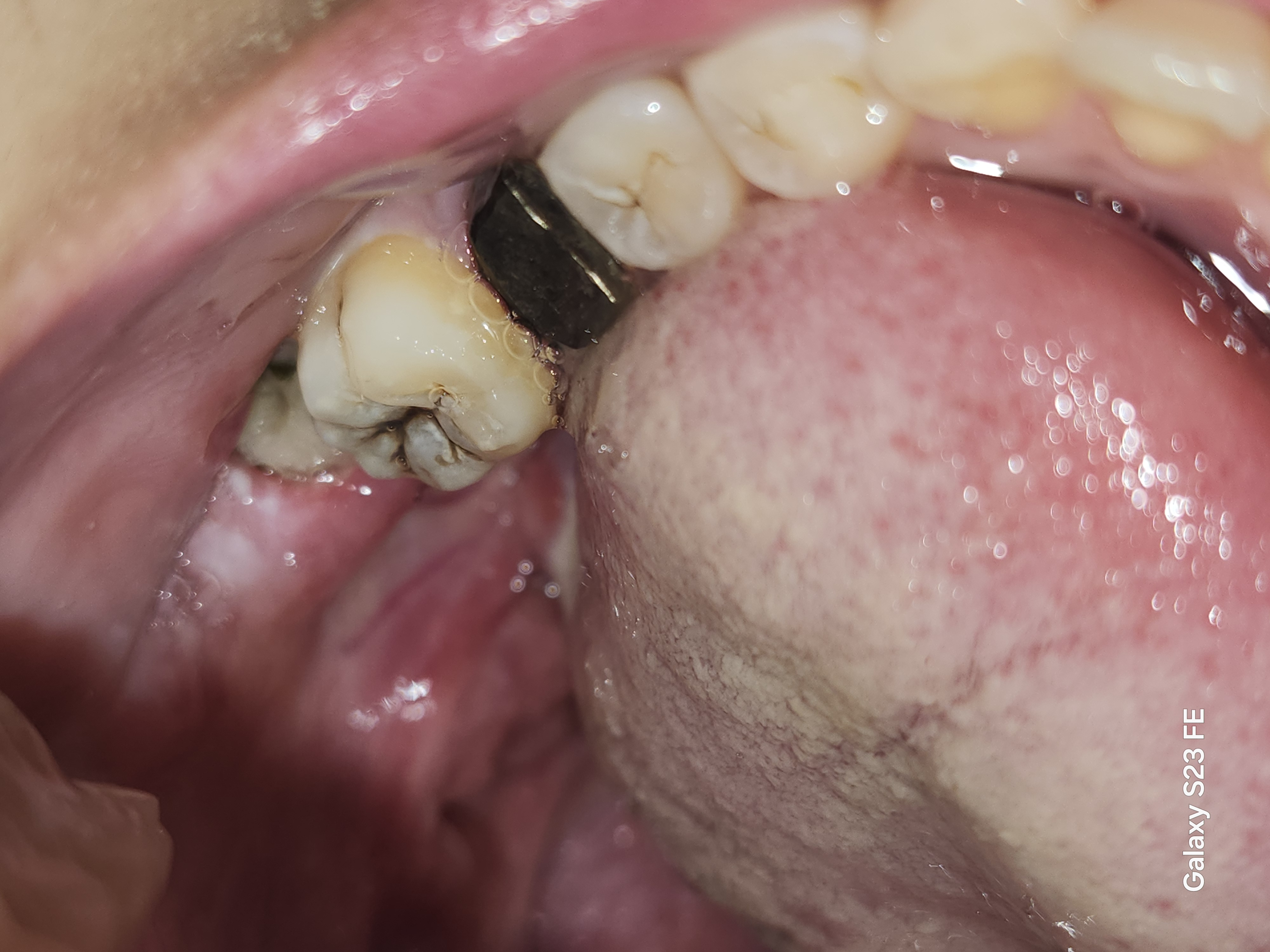
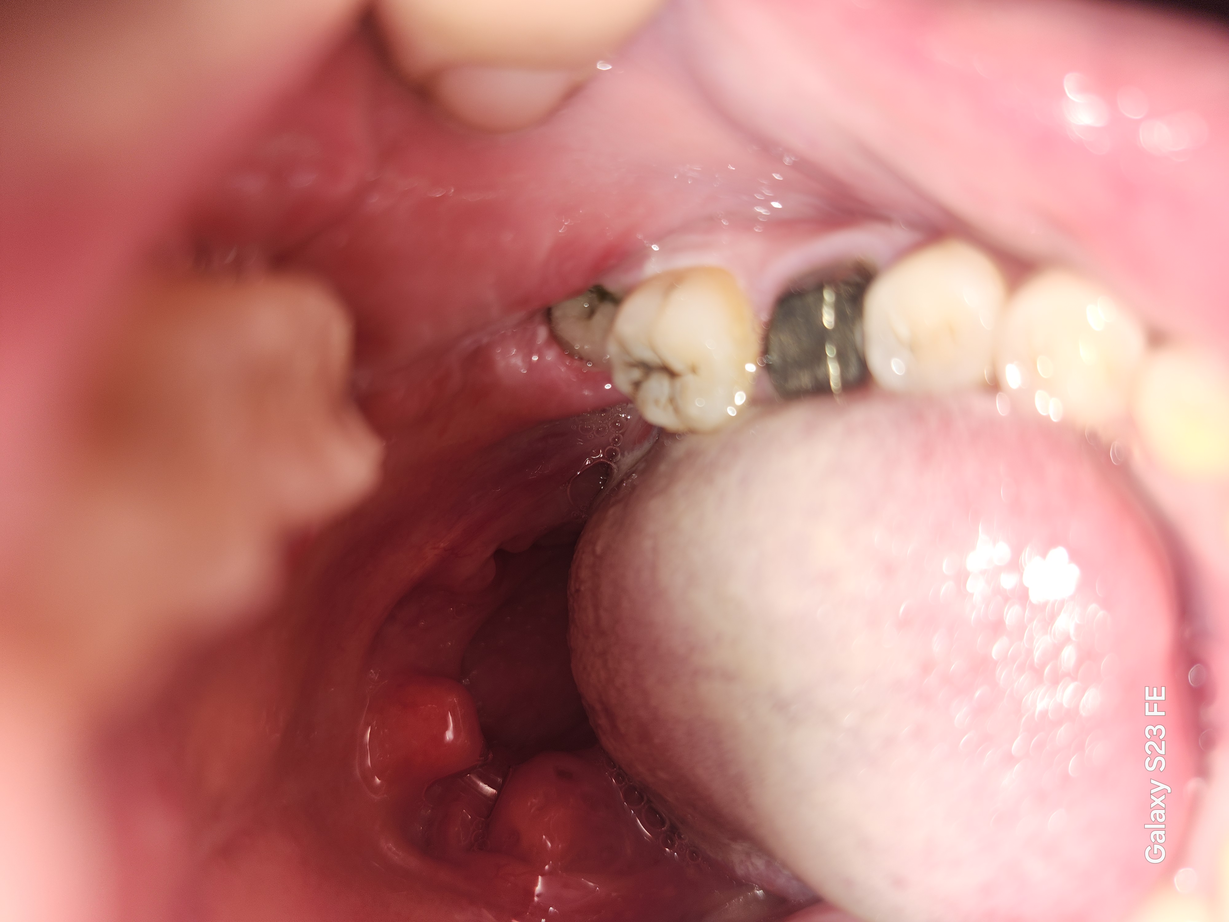
親知らず抜歯後、抜糸もしましたが歯茎の中に黒い糸のようなものがあります。
回答数:2 -
親知らず抜歯後、再切開をしましたが痛みが続いています。
回答数:2 -
親知らず抜歯後の細菌感染が長引いています。
回答数:2 -
2か月前に親知らずを抜歯したところの歯茎が腫れて膿のようなものが出ました。
回答数:2 -
親知らず抜歯後、顎に青あざとしこりがあり、噛むと周辺の歯が痛みます。
回答数:2 -
親知らず抜歯後、痛み止めが切れると顎の骨が痛みます。
回答数:2 -
親知らず抜歯後、血の塊のようなものが大量に出てきます。
回答数:2 -
親知らず抜歯後、糸に汚れが溜まり歯肉炎になっていると言われました。
回答数:2

