歯のお悩み相談詳細

ご相談

海外でのインプラント治療に不安があります。

ネル様46歳男性
現在中国の上海に在住しており、インプラント治療を検討しています。
対象は左上上顎部の5番と6番の2本で、下記状況のもと、医師から治療提案を受けておりますが、海外での外国人医師による治療に不安を感じており、日本の歯科医の先生にご意見を頂ければと思います。

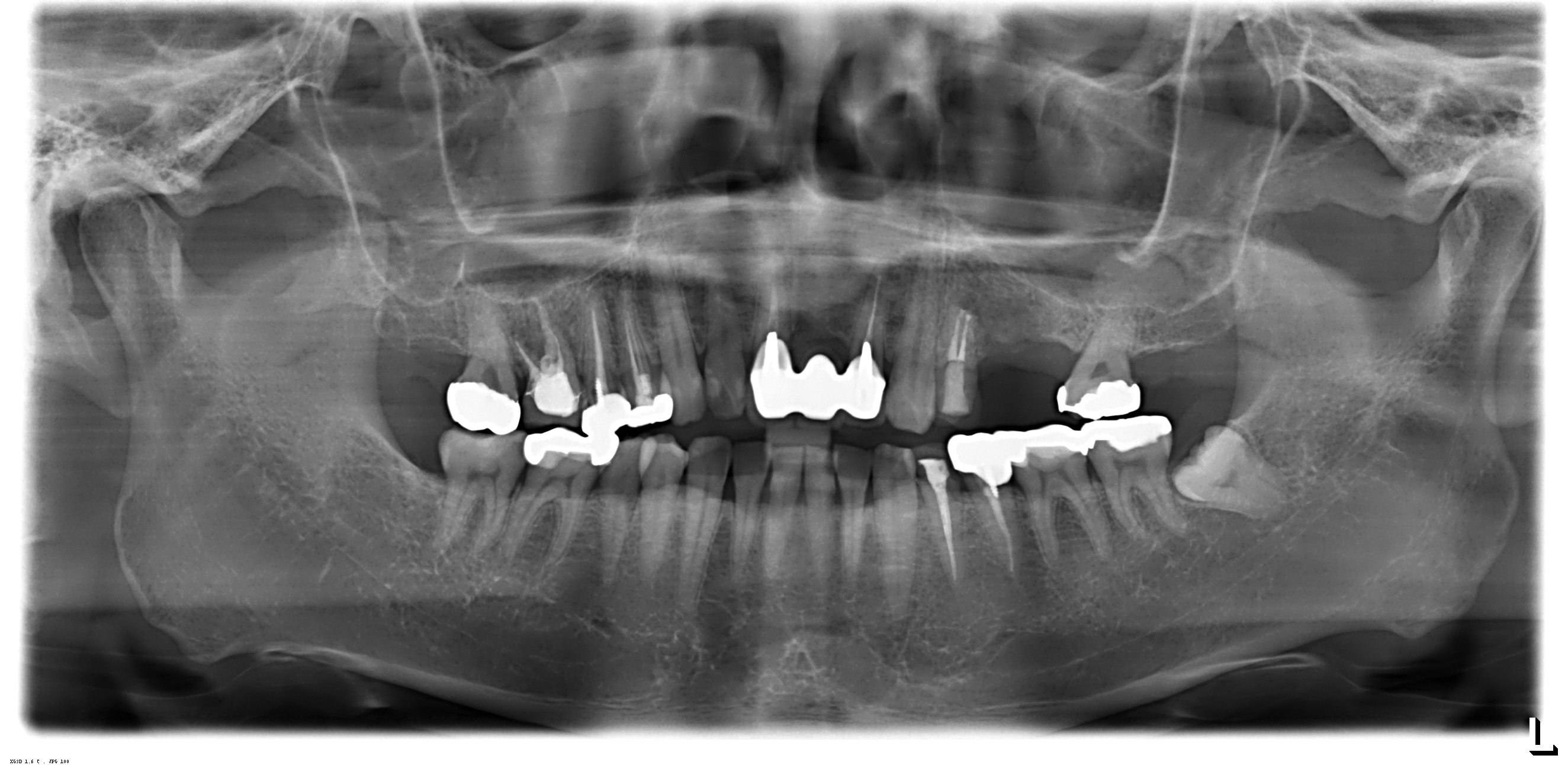
■状況
・5番目は骨が十分あるが、6番は6.7mmほどしか骨がありません
・5番は抜歯後1年弱、6番は3年半ほど経っています
・歯を失った原因は虫歯と強い食いしばりです

■医師からの提案
・6番にソケットリフトを2mm弱行う(3mm以上行うと危険)
・5番には10mm、6番には8mmのインプラントを埋入
・上部構造は連結冠を使い、セメント固定方式で固定
インプラントはストローマンを使用

■質問
上記の医師の提案は日本におけるインプラント治療においても、一般的な治療方法でしょうか?
心配している点は下記にななります。
(1)6番のソケットリフトは2mmが限界なのでしょうか?できれば10mmのインプラントを埋入し、連結ではなく、単冠にして清掃性を高めたいです。
(2)連結冠ではセメント固定方式が一般的なのでしょうか?セメントからインプラント歯周炎になる可能性があると聞き、連結冠の清掃性の悪さと相まって非常に心配です。

個人的には、6番のソケットリフトを3mm以上行い、10mmのインプラントを入れた上で単冠として、それぞれスクリュー方式で固定して欲しいのですが、小職の状況ですと、日本で治療を受けたとしてもこのような希望は難しいでしょうか?
また、医院にはCTがありますが、白黒のかなりぼやけた画像のCTで、そこにも少し不安を感じております。

海外での治療に非常に不安を感じております。
まことに恐れ入りますがご意見いただければ幸いです。
よろしくお願いいたします。

河原 雅朗 先生からの回答

河原 雅朗
奈良県
かわはら歯科クリニック
河原 雅朗先生
> (1)6番のソケットリフトは2mmが限界なのでしょうか?

限界というわけではありませんが、上げる量が多くなればなるほど上顎洞の粘膜に穴が開くリスクは高まると思います。
サイナスリフトを考えれば15mmのインプラントでも可能でしょう。
ただ侵襲はより大きくなります。


> できれば10mmのインプラントを埋入し、連結ではなく、単冠にして清掃性を高めたいです。

最近では6mmあれば十分という考えもあるため、最近は長いものを入れることはやや少なくなってきていると思います。
長くすればするほど、リスクは高まると思います。

お書きになっていませんが、インプラントはその直径も考えなくてはいけないです。
太目で6mmのインプラントならそれで十分ということも言えると思います。


> (2)連結ではセメント固定方式が一般的なのでしょうか?

そういうわけではありません。
一長一短あり、どちらが多いということもなかなか言いにくいです。
というのが、昔はセメント固定が主流でしたが、スクリューの利点が言われだし、どちらかというと最近はスクリューが多いかもしれません。
ただその場合、アバットメントをマルチというものにしたりと、その技法も様々あり、適材適所としか言えないです。


> セメントからインプラント歯周炎になる可能性があると聞き、連結冠の清掃性の悪さと相まって非常に心配です。

連結冠だと清掃性が悪く、単冠なら清掃性がいいというわけでもありません。
天然歯だと歯の高さが無いためにややそういう傾向にあると思いますが、そこまでこだわらなくてもいいと思います。
セメントかスクリューかについてはそれぞれ一長一短あるので、その先生の好みの問題になります。


> 日本で治療を受けたとしてもこのような希望は難しいでしょうか?

お書きになっているようにする先生も探せばいると思いますが、治療のパターンはそれこそこの場合何十通りも考えられるわけで、それぞれの先生がそれぞれのポリシーをもって治療を行っているわけで、ぴったりと合った先生を探すということはなかなか難しいと思います。

渡辺 英弥 先生からの回答

渡辺 英弥
福島県
渡辺歯科医院
渡辺 英弥先生
> (1)6番のソケットリフトは2mmが限界なのでしょうか?
> できれば10mmのインプラントを埋入し、連結ではなく、単冠にして清掃性を高めたいです。

限界ではないと思いますが、必要最小限の挙上かと思います。
単独がいいとは思いますが、臼歯部なので連結を選択したのかと思います。


> (2)連結ではセメント固定方式が一般的なのでしょうか?
> セメントからインプラント歯周炎になる可能性があると聞き、連結冠の清掃性の悪さと相まって非常に心配です。

どちらでも問題はないと思います。


> 個人的には、6番のソケットリフトを3mm以上行い、10mmのインプラントを入れた上で単冠として、それぞれスクリュー方式で固定して欲しいのですが、小職の状況ですと、日本で治療を受けたとしてもこのような希望は難しいでしょうか?
> また、医院にはCTがありますが、白黒のかなりぼやけた画像のCTで、そこにも少し不安を感じております。

希望は優先されますが、スクリューが好きな先生と、そうでない先生に分かれる可能性はあります。

歯科医院を探す

全国約68,000件の登録歯科医院より、お住まいの地域や治療内容にあった歯科医院を検索できます。

インプラントに関するお悩み相談

お口の悩みを歯科医師に相談する

ログイン 歯の悩みを相談 歯科医院を検索